В Тульском областном клиническом онкологическом диспансере онкохирурги успешно удалили опухоль селезенки 25×20 см. Современный метод минимизировал травму для пациента и ускорил восстановление.
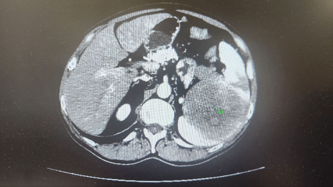
Опухоль нашли у 69-летнего туляка на плановом УЗИ брюшной полости. Дальнейшее обследование подтвердило диагноз: опухоль поразила селезенку, лимфоузлы и хвост поджелудочной железы.

Врачи приняли решение об удалении единым блоком селезенки, части поджелудочной железы с опухолью и пораженными лимфоузлами с использованием лапароскопического метода.

Лапароскопический подход позволяет снизить кровопотерю, уменьшить болевой синдром после операции и сократить время пребывания в стационаре.
Операция прошла успешно. Уже на следующий день пациент был переведен из отделения реанимации в обычную палату, а через пять дней выписан домой под амбулаторное наблюдение.